| 胃癌如何规范检查?----胃癌的标准分期诊断内容及解析 |
||
| 来源:张成海 | 浏览:3662 | 日期:2018-01-22 17:14 |
如果罹患胃癌,首先考虑的应该是如何明确肿瘤性质和分期,因为分期直接决定患者的治疗方案,如果检查不合理或者诊断不明确,那么接下来的治疗必然是盲目的、甚至是错误的。那么对于胃癌的必须检查有以下内容:
1.胃镜+活检:
胃镜检查是必须的,

可以明确病变的位置,大小,形状,更重要的是可以取活检做病理检查,明确疾病性质;比如腺癌的分化程度(高分化、中分化、低分化、印戒细胞癌,恶性度依次递增)。
但是,有时会有一些特殊情况,比如活检一次并不能取到肿瘤,多数报告慢性炎症。此时,这分两种情况,一是胃部没有癌变,的确就是胃炎和粘膜溃疡;另一种情况就是有癌变,但是由于伴有炎症和溃疡干扰了结果,甚至取活检时只是取到了粘膜炎症部分,没有取到较深处的癌变细胞。那么,如果内镜医生认为病变可疑时,就会建议患者口服抑酸药(质子泵抑制剂,如奥美拉唑或泮托拉唑等)2-3周,再次做胃镜并取活检。建议这种情况一定要听医生的建议,服药后再次取活检。如果是我门诊的患者,这种情况我会建议患者同时做腹部增强CT,了解可以病变处胃壁是否增厚,如果CT能够明显看到胃壁的增厚,那么病变几乎是肯定的,一定在胃镜取活检时深取材和多点取材,甚至可以考虑内镜下粘膜切除。时常会遇到患者做2-3次胃镜才明确诊断。
2.超声胃镜:


就是胃镜头部带有超声探头,可以了解病变侵犯胃壁的厚度,就是T分期,同时,可以大概了解胃周淋巴结转移的情况。这是对准确的胃癌分期来说,是必要的检查。但是由于属于有创检查,患者在做过普通胃镜检查后,对于再次做超声胃镜很多是不理解的,如果读过这篇科普文章后,希望能够明白。因此,不少的单位,为了节省时间或多少迎合患者不想做的心理,这项检查基本都省略了。
3.腹盆增强CT检查:

是否直接侵及胃周的胰腺、肝脏、脾脏、膈肌脚等器官和组织,同时了解有无腹腔淋巴结转移,有无肝脏或腹腔扩散,是很重要的分期检查。对于判定可否根治性手术切除的重要依据。另外,盆腔CT对于女性患者尤为重要,胃癌偶有卵巢转移。对于男性患者,也可以盆腔超声代替。
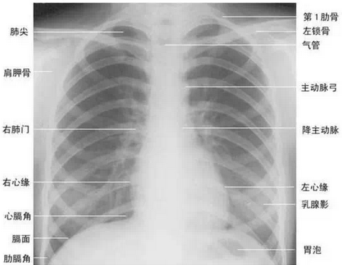
3.胸片或胸部CT检查:


胸片可以了解大概肺部有无结节,如有可疑结节,最好做胸部增强CT,进一步了解肺部情况,有无肺转移。关于X线片与CT的区别,有人比喻得很形象:
X光:像把面包压扁了看
X光会穿过人体,遇到被遮挡的部位,底片上不会曝光,洗片后这个部位就是白色的。
就像一片面包或一块棉花,看不到里面的纤维纹理,但用手压瘪了会清晰一些。X光最大缺点是受制于深浅组织的影像相互重叠和隐藏,有时需要多次多角度拍摄X光片。
CT:像把面包切片看
CT的检查原理是X光会分层穿过人体,之后通过电脑计算后二次成像,就像把一片面包切成片来看。优点是可以分层看,经计算后可以显示出更多的组织信息。
4.颈部超声:
部分胃癌患者存在淋巴结的跳跃性转移,就是胃周可能没有淋巴结转移,但是会转移到左颈部淋巴结(Virchow淋巴结)胃癌患者可有典型的左颈部淋巴结转移,一旦转移,考虑晚期。


注释:Virchow淋巴结是以德国著名的病理学家Rudolf Virchow(1821-1902)命名的淋巴结,位于左锁骨上窝的淋巴结,接受来自腹腔的的淋巴管。
5.胃肠道肿瘤标志物:了解CEA、CA199,CA724,CA125水平,这项化验不是确诊依据,参考依据。
胃癌的其它可考虑的检查内容:
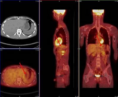
PET/CT检查:对于恶性肿瘤来说,这项检查是筛除全身扩散转移的重要工具,可以在疾病早期发现,但检查费用高。当普通的检查可以癌转移,但是表现不典型时,可考虑做作为补充诊断。临床应用受到限制
。
骨扫描:如果CT或MRI检查怀疑骨转移时,可以考虑行全身骨扫描检查,明确是否有骨转移
。
腹腔镜探查:说是一种检查手段,其实是一种小的手术。就是患者在手术室全麻后,进行腹腔镜探查,这是有创检查,目前日韩和我国部分大的肿瘤中心应用,不是常规的检查手段。好处是更明确胃癌的局部情况及清楚看到整个腹盆腔有无扩散转移,并且可以做腹腔游离细胞学检查,是更精准的分期手段。但是,这个是有创检查,临床推广还有待大型临床研究支持。

6.肺功能、心脏超声、血管超声:不是诊断检查必须项目,是术前心肺功能的评估检查。